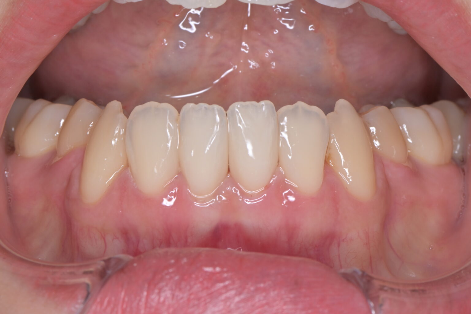
ブラック・トライアングルとは、歯間乳頭(歯と歯の間の歯肉)が退縮し、黒い三角形の隙間として見える審美障害のこと。
原因
加齢や歯周病、咬合性外傷、成人矯正等による。また、デンタルインプラントやブリッジのポンティック等、もともと歯間乳頭を持たない場合も生じる
治療法
コンタクトの調整
Tarnowらの調査でコンタクトポイントから歯槽骨頂までの距離が5mm以下であれば100%ブラックトライアングルが消失することがわかっている。(6mm-98%と徐々に治癒率は低下する)
- ロングコンタクト
- コンタクトポイントから歯槽骨頂までの距離を5mm以下にするため、通常点で接しているコンタクトをやや長めな面で接触させる方法。補綴物を作成する際にロングコンタクトにする方法と、矯正治療中で歯を動かせる状態であれば歯の隣接面にスライスを入れて面接触を作る方法などがある。
インビザライン(米国)などのマウスピース矯正システムでは、矯正治療前・治療後の歯列の3D画像シミュレーションによるIPR(InterProximal Reduction)と呼ばれるコンタクト削合技術があり、点で接しているコンタクトを長めの面接触にすることが0.1㎜単位で削合設定することが出来る。また、画像により矯正治療前に治療後のブラックトライアングル量を予測することが出来るため、歯の隣接面に適量の削合量のスライスを入れたロングコンタクトが可能となっている。
欠損歯の場合
- オベイトポンティック
- 前歯部ブリッジのポンティックを歯肉を圧迫する形に作り擬似歯間乳頭を形成する方法。
- デンタルインプラントの前処置
- フィクスチャー埋入前に、硬・軟組織を増生、また抜歯の際に硬・軟組織のロスを最小限にとどめる処置をする。
- 歯間乳頭の回復を待つ
- 歯周病治療直後の場合には、クリーピング呼ばれる歯肉の自然回復がおこるのを期待する場合もある。
- 咬合調整を行う
- 外傷性咬合の除去。
- 外科処置
- 歯肉移植や結合組織移植など。
関連項目
- 矯正歯科
- 歯周病
- ブラック・トライアングル
- ローフォース・ローフリクション-ブラックトライアングルの出現が少ない術式だと言われている




